
Sang Mỹ chữa sốt bí ẩn không khỏi, về Việt Nam mới tìm ra 3 “thủ phạm”
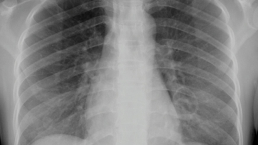
VOV.VN - Suốt 6 tháng sốt cao 39–40°C, sụt gần 20 kg và chữa trị ở nhiều bệnh viện trong nước lẫn Mỹ nhưng không tìm ra nguyên nhân, ông N. tưởng chừng không qua khỏi. Tại Bệnh viện Bệnh Nhiệt đới Trung ương, bác sĩ phát hiện cùng lúc 3 tác nhân nguy hiểm đang tấn công cơ thể ông.









