VOV.VN - Nhân dịp Tết Chôl Chnăm Thmây của đồng bào sắp tới, Phó Chủ tịch Thường trực Quốc hội, Chủ tịch Ủy ban Trung ương MTTQ Việt Nam đã tới thăm và trao quà cho các sư sãi, đồng bào phật tử Khmer tại tỉnh Sóc Trăng.
VOV.VN - Hôm nay 27/3, Ban Chỉ đạo phòng, chống dịch Covid-19 tỉnh Sóc Trăng đã trao giấy chứng nhận hoàn thành thời gian cách ly y tế tập trung cho 155 công dân Việt Nam từ Đài Loan (Trung Quốc) về.
VOV.VN - Ban Tổ chức đã trao 10 chiếc xe đạp, mỗi chiếc trị giá trên 1 triệu đồng cho 10 em học sinh người dân tộc Khmer trên địa bàn xã Vĩnh Hải, thị xã Vĩnh Châu, tỉnh Sóc Trăng.
VOV.VN - Với thế mạnh là thủy sản, trái cây và lúa gạo, các địa phương vùng ĐBSCL đã khai thác, phát huy, đánh thức thế mạnh tài nguyên bản địa khu vực nông thôn vào từng sản phẩm OCOP và khơi dậy tinh thần khởi nghiệp của người dân.
VOV.VN - Hôm nay 17/3, Công an tỉnh Sóc Trăng tổ chức Hội nghị triển khai, quán triệt Nghị quyết Đại hội đại biểu toàn quốc lần thứ XIII của Đảng và nội dung văn kiện Đại hội đại biểu Đảng bộ Công an Trung ương lần thứ VII, nhiệm kỳ 2020 - 2025.
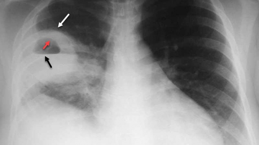
VOV.VN - Bệnh viện Đa khoa tỉnh Sóc Trăng cho biết, cùng với sự nỗ lực nâng cao chuyên môn và hỗ trợ từ Bệnh viện Đa khoa Trung ương Cần Thơ, vừa qua, Khoa Ngoại Tổng hợp Bệnh viện Đa khoa tỉnh Sóc Trăng đã điều trị thành công cho bệnh nhân bị áp xe phổi nhờ triển khai kỹ thuật mới.