VOV.VN - Trước thềm Đại hội XII Công đoàn TP.HCM, hôm nay (19/9), Liên đoàn Lao động TP.HCM tổ chức khai mạc triển lãm ảnh “Công đoàn TP.HCM - Niềm tin của người lao động” và ra mắt không gian văn hóa Hồ Chí Minh.
VOV.VN - Công đoàn TP.HCM sẽ tập trung nâng cao chất lượng hoạt động công đoàn cơ sở, đổi mới công tác vận động, tập hợp người lao động vào tổ chức Công đoàn Việt Nam.
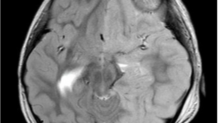
VOV.VN - Bệnh viện Chợ Rẫy vừa tiếp nhận 2 nữ bệnh nhân bị tai biến do tiêm filler trong một khách sạn tại Tây Ninh. Đáng nói là, 1 nạn nhân còn bị "lột" sạch tài sản trên người.
VOV.VN - Năm 2023 là năm khởi động 2 hoạt động trọng tâm mang ý nghĩa quan trọng trong chuyển đổi số của ngành y tế TP.HCM, đó là: xây dựng hồ sơ sức khỏe điện tử cho người dân và xây dựng kho dữ liệu dùng chung của ngành y tế.
VOV.VN - Từ đầu năm đến nay, TP.HCM có hơn 71.700 ca đau mắt đỏ. Trước việc số ca đau mắt đỏ tại TP.HCM đang có xu hướng tăng nhanh, Sở Y tế TP.HCM chỉ đạo Bệnh viện Mắt, Trung tâm Kiểm soát bệnh tật TP.HCM phối hợp Đơn vị Nghiên cứu lâm sàng của Đại học Oxford khẩn trương tìm chính xác tác nhân gây bệnh.
VOV.VN - Liên quan đến vụ nổ một phòng trọ ở phường Thới Hòa, thị xã Bến Cát, tỉnh Bình Dương khiến một thanh niên bỏng nặng, Bệnh viện Chợ Rẫy (TP.HCM) cho biết, nạn nhân đã tử vong sau 2 ngày điều trị.
VOV.VN - Thanh tra Sở Y tế TP.HCM cho biết vừa ra quyết định xử phạt vi phạm hành chính đối với một công ty thực hiện dịch vụ vận chuyển cấp cứu người bệnh.
VOV.VN - Bệnh viện Chợ Rẫy vừa phát đi cảnh báo liên quan đến thông tin đăng ký làm thẻ hiến tạng tại bệnh viện phải tốn 500.000 đồng. Bệnh viện khẳng định việc đăng ký hiến tạng hoàn toàn miễn phí.