"Phát hiện ung thư niêm mạc tử cung vì quan điểm giữ gìn "cái ngàn vàng""

VOV.VN - Rong kinh kéo dài nhưng việc thăm dò chẩn đoán bị trì hoãn do lo ngại giữ "cái ngàn vàng", nữ bệnh nhân 30 tuổi được phát hiện ung thư niêm mạc tử cung sau khi thực hiện soi buồng tử cung sinh thiết. Câu chuyện đặt ra cảnh báo về những rào cản tâm lý có thể khiến người bệnh đánh mất cơ hội điều trị sớm.

Mới đây, Khoa khám Phụ khoa Tự nguyện, Bệnh viện Phụ Sản Hà Nội đã tiếp nhận một bệnh nhân nữ 30 tuổi, chưa từng quan hệ tình dục, có tiền sử rong kinh kéo dài gần một năm.

Trong thời gian đó, nữ bệnh nhân đã đi khám tại nhiều cơ sở y tế, được chẩn đoán rối loạn nội tiết và điều trị bằng thuốc nội tiết nhiều đợt, tuy nhiên tình trạng ra máu kéo dài không cải thiện. Qua thăm khám tại bệnh viện, kết quả siêu âm cho thấy niêm mạc tử cung dày.

Tuy nhiên, do quan điểm giữ gìn “cái ngàn vàng”, bệnh nhân không được tư vấn hút niêm mạc tử cung làm xét nghiệm tế bào, bởi thủ thuật thông thường cần đặt mỏ vịt qua đường âm đạo, có nguy cơ ảnh hưởng đến màng trinh. Chính sự e ngại này khiến việc chẩn đoán nguyên nhân rong kinh bị trì hoãn suốt một thời gian dài.

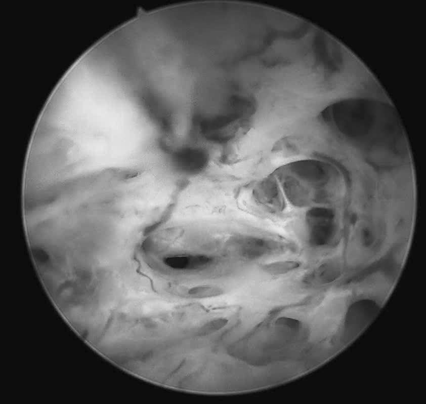
Trước tình huống đó, tại Khoa Khám Phụ khoa Tự nguyện, nữ bệnh nhân được tư vấn thực hiện soi buồng tử cung sinh thiết bằng ống soi nhỏ, một phương pháp cho phép đánh giá trực tiếp buồng tử cung mà không làm tổn thương màng trinh.

Quá trình soi diễn ra an toàn, nhẹ nhàng. Bệnh nhân hoàn toàn tỉnh táo và có thể quan sát trực tiếp hình ảnh buồng tử cung trên màn hình với hình ảnh niêm mạc nham nhở, tăng sinh không đồng đều, nhiều mạch máu bất thường, những dấu hiệu gợi ý tổn thương ác tính. Mẫu sinh thiết được lấy ngay trong quá trình soi để làm xét nghiệm mô bệnh học.

Năm ngày sau ca thủ thuật do ThS.BSCKII Nguyễn Biên Thùy, Trưởng khoa Khám Phụ khoa Tự nguyện trực tiếp thực hiện, kết quả xét nghiệm được trả về với thông tin không ai mong muốn. Nữ bệnh nhân trẻ được chẩn đoán mắc "ung thư niêm mạc tử cung".

Khi nhận kết quả, câu hỏi nghẹn ngào của nữ bệnh nhân trẻ sau ca thủ thuật đã khiến các bác sĩ trăn trở: “Nếu em được làm xét nghiệm sớm hơn, ngay từ khi bắt đầu rong kinh, liệu em có còn cơ hội giữ lại tử cung không?”

Đây không chỉ là nỗi day dứt của người bệnh, mà còn là lời cảnh tỉnh rõ ràng trong thực hành lâm sàng, rong kinh kéo dài, ra máu bất thường không rõ nguyên nhân, dù ở người trẻ, dù chưa từng QHTD ,vẫn cần được thăm dò đầy đủ để tìm nguyên nhân đến cùng.

Theo ThS.BSCKII Nguyễn Biên Thùy, Trưởng khoa Khám Phụ khoa Tự nguyện, việc trì hoãn chẩn đoán vì tâm lý e ngại thủ thuật có thể khiến người bệnh đánh mất “thời gian vàng” cho điều trị sớm.

Chính vì vậy, khi có bất thường về sản phụ khoa, người bệnh nên đến các cơ sở chuyên sâu, nơi có phương tiện chẩn đoán hiện đại và đội ngũ bác sĩ giàu kinh nghiệm, để được tiếp cận những giải pháp phù hợp, an toàn và chính xác, trước khi những câu hỏi “giá như” trở nên quá muộn.

Bình luận

Bình luận của bạn sẽ được xét duyệt trước khi đăng

Đang tải bình luận...